Chảy máu chân răng là dấu hiệu cảnh báo các bệnh nguy hiểm về răng miệng như: viêm nha chu, lợi,.. Nếu không điều trị sớm, có thể dẫn đến tiêu xương khiếng răng rụng. Trong bài viết dưới đây Nha Khoa Nha Trang sẽ điiểm qua cho bạn một số thông tin hữu ích nhé.
CHẢY MÁU CHÂN RĂNG
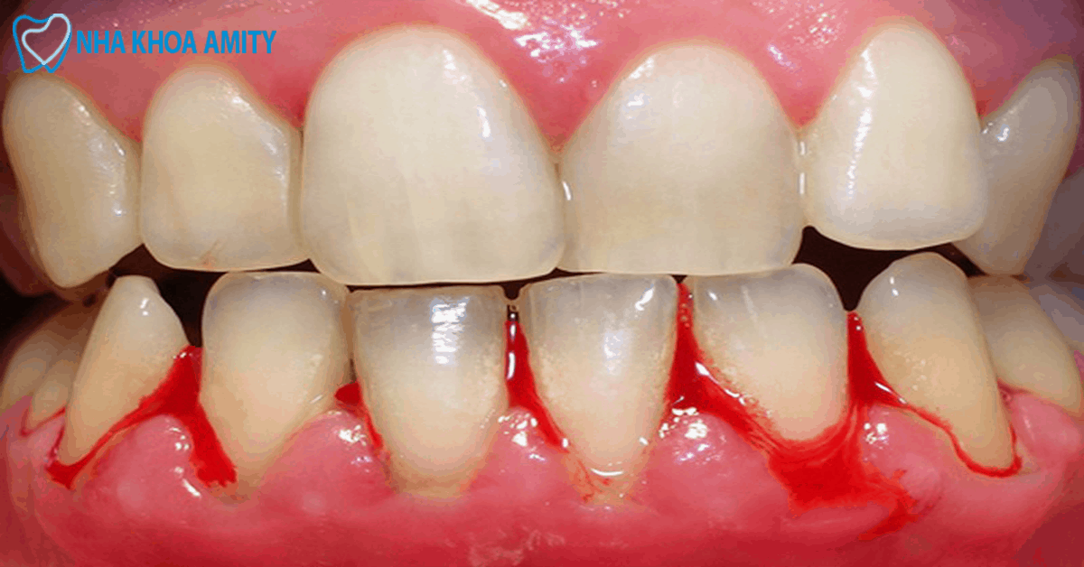
Chảy máu chân răng là tình trạng các mô mềm xung quanh răng bị xuất huyết. Gây ra không ít khó chịu kèm theo đó là dấu hiệu cảnh báo của nhiều bệnh lý nguy hiểm.
Chảy Máu Trong Chân Răng Là Bệnh Gì?
Bệnh như vậy hay còn gọi là chảy máu lợi. Là triệu chứng có thể thấy của các bệnh có tên gọi khác như, viêm nha chu, viêm quanh răng, u lợi… Tuy nhiên, nguyên nhân chảy máu thường gặp nhất là do viêm lợi. Bản chất của nó là do mảng bám tích tụ dọc theo viền. Vùng khe hở giữa nướu và răng là nơi cư trú hoàn hảo của những loại vi khuẩn gây hại.
Chân Răng Thường Xuyên Chảy Máu Do Nguyên Nhân Nào?
Căn bệnh này thường xuất phát từ việc chăm sóc răng miệng không đúng cách. Điều này tạo cơ hội cho các loại vi khuẩn có hại sinh sôi và trú ngụ trong mảng bám.
Bạn thường nhận ra mình bị chảy máu lợi một cách bất ngờ. Ví dụ như đang cắn một quả táo hay chỉ đơn giản là dùng chỉ nha khoa. Nhiều người cho đó là việc bình thường nên không quan tâm. Tuy nhiên dù chảy máu bởi nguyên nhân nào thì bạn cũng cần lưu ý.
Bạn cần nhớ rằng nướu răng khỏe mạnh sẽ không dễ bị chảy máu. Đặc điểm nhận diện nướu khỏe là có màu hồng nhạt và săn chắc. Trong khi đó nếu bị viêm sẽ có màu đỏ đậm, mềm, rất nhạy cảm và kèm theo có mùi khó chịu.
Đa số người bệnh khi tự nhiên bị bệnh này. Sẽ thường nghĩ là mình thiếu vitamin C và tự ý bổ sung ngay. Tuy nhiên, nếu muốn chữa khỏi thì bạn cần phải tìm đúng nguyên nhân để điều trị. Vì thiếu vitamin C chỉ là một trong số các nguyên nhân thường gặp.
Ngoài nguyên nhân vệ sinh răng miệng kém hay thiếu vitamin C. Thì các yếu tố có thể làm tăng nguy cơ viêm nướu bao gồm: sử dụng thuốc lá, bệnh tiểu đường, khô miệng hoặc do thay đổi nội tiết tố nữ trong thời kỳ mang thai, mãn kinh… Do vậy, bạn nên đến chuyên khoa răng hàm mặt khám bệnh. Để tìm đúng nguyên nhân gây chảy máu và điều trị theo chỉ định của bác sĩ.
Một Số Nguyên Nhân Khác Chân Răng Bị Chảy Máu Do Thuốc
Hiệp hội Nha khoa Hoa Kỳ cho biết một nguyên nhân có thể gây chảy máu chân răng. Đó có thể là thuốc làm loãng máu. Thuốc làm loãng máu làm giảm khả năng đông máu. Do vậy có thể dẫn đến việc bạn bị chảy máu dễ dàng hơn.
Một số loại thuốc chữa bệnh khác thì có thể khiến bạn bị khô miệng. Điều này làm ảnh hưởng đến lượng nước bọt tiết ra trong miệng. Để trung hòa các axit béo, tiêu diệt vi khuẩn trong răng.
Bạn cần nói rõ với nha sĩ về tình trạng sử dụng các loại thuốc mỗi khi ghé phòng khám nha khoa.
Thói Quen Dùng Chỉ Nha Khoa
Đôi khi một sự thay đổi trong thói quen dùng chỉ nha khoa. Hoặc chưa dùng chỉ nha khoa đúng cách cũng có thể dẫn đến chảy máu lợi. Nếu bạn nghỉ một vài ngày không dùng chỉ nha khoa. Hay bạn tăng tỷ lệ dùng chỉ nha khoa nhiều hơn mỗi tuần thì bạn có thể bị chảy máu. Điều này có thể bỏ qua được nếu chỉ xảy ra một vài lần.
Nếu bạn bị quá thường xuyên khi dùng chỉ hoặc xỉa răng bằng tăm thì bạn nên đến nha sĩ.
Bàn Chải Đánh Răng Thô Cứng
Nhiều người vệ sinh hàm bị chảy máu do đổi bàn chải đánh răng. Nếu bạn đang sử dụng bàn chải thô cứng thì nên cố gắng tìm mua loại bàn chải tốt hơn. Đó là loại có đầu lông mềm, cảm nhận khi đánh là rất nhẹ nhàng cho răng. Cũng lưu ý rằng nếu đánh mạnh quá cũng sẽ dễ gây tổn thương đến lợi.
Hút Thuốc Lá Quá Nhiều
Những người thường xuyên hút thuốc thường có nhiều cao răng hơn những người không hút thuốc. Các chất có hại trong thuốc lá cũng làm cho người hút dễ mắc các bệnh. Do đó, bạn cần xem lại thói quen hút thuốc của mình.
Thói quen hút thuốc lá nhiều không chỉ là nguyên nhân gây vấn đề miệng có mùi khó chịu. Mà còn là nguyên nhân hàng đầu gây nên các bệnh lý về răng miệng.
Căng Thẳng Gây Chân Răng Bị Chảy Máu
Có lẽ nhiều người không biết rằng sự căng thẳng cũng đem lại hệ quả xấu cho sức khỏe. Nếu bạn ở trạng thái kích động và lo lắng liên tục. Nó có thể làm tổn hại hệ thống miễn dịch của và khiến bạn dễ bị chảy máu chân răng. Sự căng thẳng có thể gây viêm trong mạch máu. Làm phá vỡ các mô mềm trong miệng và ngăn chặn quá trình chữa lành.
Tình Trạng Răng Mọc Bị Lệch
Tình trạng răng mọc lệch, không đúng vị trí, khớp cắn sai lệch cũng gây ra tình trạng chảy máu lợi. Điều này được lý giải là vì khi mọc lệch có thể dẫn đến sự khó khăn trong việc vệ sinh, dễ gây tổn thương.
Những cái mọc khấp khểnh còn là nơi dễ bị tích tụ lại thức ăn, mảng bám. Làm cho nướu dễ bị viêm. Do đó, bạn có thể cần đến các biện pháp chỉnh nha để cải thiện tình hình.
Vệ Sinh Răng Miệng Kém
Đôi khi chính việc lơ là chăm sóc răng miệng có thể dẫn đến làm chảy máu lợi. Bạn có thể vội vã khi đánh răng và đánh không đủ lâu cũng như bỏ qua việc đánh răng buổi tối.
Ngoài ra, thói quen không dùng chỉ nha khoa có thể khiến bạn khó lấy đi nhiều mảng bám có thể dẫn đến sưng và viêm nướu. Có nghiên cứu cho thấy rằng nướu khỏe mạnh có thể trở thành nướu bị bệnh chỉ sau một ngày mà bạn không lưu ý chăm sóc răng miệng đúng cách.
Dấu Hiệu Cảnh Báo Của Bệnh Lý Viêm Nướu
Chảy máu lợi có thể là dấu hiệu đầu tiên của bệnh nướu răng. Mảng bám bị vướn lại không được chải hoặc dùng chỉ nha khoa lấy đi hết. Dẫn đến những vi khuẩn tồn đọng có thể lây nhiễm vào nướu. Điều này có thể dẫn đến các triệu chứng viêm.
Nướu bạn sẽ bị sưng, đau và đôi khi còn bị chảy máu trong khi bạn đánh răng. Hoặc dùng chỉ nha khoa để làm sạch hàm. Nếu kéo dài tình trạng này mà không có bất kỳ biện pháp chữa trị nào. Thì có nguy cơ lợi sẽ bị tụt xuống làm chân răng lộ ra ngoài rất xấu xí và gây rụng.
Bệnh Nha Chu
Là dấu hiệu của bệnh nha chu. Đây là giai đoạn nặng, bệnh thường tiến triển âm thầm và lâu ngày không điều trị có thể dẫn tới mất răng.
Áp Xe Răng
Là tình trạng nhiễm trùng bên trong hàm. Và là tình trạng vi khuẩn xâm nhập vào sâu bên trong. Khi bị áp xe răng, bạn sẽ cảm thấy đau liên tục, chân răng bị chảy máu, sốt và sưng mặt. Nếu chuyển sang giai đoạn sưng mặt tức là bệnh lý đã phát triển nặng.
Khi Bị Bệnh Này Cần Phải Làm Gì?
Theo các bác sĩ chuyên khoa, chảy máu chân răng gây ra nhiều tác hại khôn lường. Bởi các mô khi bị tổn thương sẽ gây khó khăn cho việc ăn nhai. Đồng thời, tình trạng viêm sưng, chảy máu kéo dài có thể gây ra nhiều biến chứng nguy hiểm. Như: Răng lung lay, rụng … Từ đó, muốn chữa trị hay phục hình thẩm mỹ chi phí thường rất cao.
Để điều trị dứt điểm thì giải pháp tốt nhất là tới trực tiếp các địa chỉ nha khoa uy tín. Các bác sĩ sẽ thăm khám chẩn đoán nguyên nhân, đưa ra phương pháp điều trị phù hợp nhất. Ngoài ra, sẽ tư vấn cách chăm sóc tốt nhất để các bảo giữ gìn sức khỏe răng miệng.
Chữa Trị Bằng Cách Vệ Sinh Đúng Cách
Để có hàm răng khỏe, bạn nên lưu ý vệ sinh kỹ càng và đúng cách. Đầu tiên, bạn cần ghi nhớ phải vệ sinh 2 lần mỗi ngày. Trước khi đi ngủ và lúc mới ngủ dậy. Khi vệ sinh, bạn cần lưu ý phải đánh đúng kỹ thuật. Như dọc theo các chân răng từ trên xuống và từ dưới lên. Dùng bàn chải mềm và không đánh quá mạnh làm xây xước, tổn thương niêm mạc lợi.
Chảy Máu Ở Chân Răng Cần Bổ Sung Các Chất Cần Thiết
Bạn nên bổ sung các loại vitamin. Như vitamin C để đẩy nhanh quá trình làm lành vết thương và vitamin K để hạn chế gây xuất huyết. Bạn có thể nhận được vitamin C từ các loại trái cây như cam, bưởi, chanh. Và vitamin K khi ăn chuối hay củ cải.
Canxi, magie và các chất chống viêm có trong dầu cá cũng đều giúp ích cho sức khỏe răng miệng. Bạn nên ăn nhiều rau xanh nữa vì chất xơ trong rau củ có thể giúp loại bỏ mảng bám và trên bề mặt lợi tương tự như khi sử dụng bàn chải.
Giảm Căng Thẳng
Một trong những nguyên nhân gây xuất huyết là tình trạng căng thẳng kéo dài. Do đó, hãy cố gắng duy trì suy nghĩ tích cực. Tránh bị căng thẳng cũng như nâng cao sức khỏe tổng thể. Bạn có thể phân vân không biết khi xảy ra nên uống thuốc gì. Tuy nhiên có thể chỉ là do bạn quá căng thẳng mà thôi. Bạn nên đi khám bác sĩ nha khoa để được điều trị phù hợp hơn nhé.
Từ Bỏ Thói Quen Hút Thuốc Lá
Khi từ bỏ hút thuốc lá thì bạn không chỉ phòng tránh những căn bệnh nguy hiểm như ung thư. Bạn nên cố gắng từ bỏ dần và nghĩ đến việc nhận được những lợi ích gần gũi với cuộc sống thường ngày làm động lực vì thấy ngay hiệu quả rõ rệt. Ví dụ như hơi thở sẽ thơm tho hơn, răng sẽ trắng sáng và chắc khỏe hơn hẳn.
Đặc biệt, khi bỏ thuốc lá thì cũng dễ dàng tránh khỏi tình trạng đang ngồi cạnh ai đó mà răng bỗng nhiên xuất huyết đỏ tươi khiến bạn mất điểm trong mắt họ. Đôi khi cách trị tốt chỉ đơn giản là từ bỏ một thói quen xấu!
Sử Dụng Thuốc Điều Trị
Bạn muốn biết thực sự thì chảy máu lợi uống thuốc gì để mau khỏi bệnh nhất có thể?. Các loại thuốc chữa mà các bác sĩ kê toa thường gồm một số loại như: Amoxicillin, Tetracycline, Metronidazole, Penicillin… Tùy theo tình trạng của từng người mà bác sĩ sẽ hướng dẫn liều lượng sao cho phù hợp.
Trước khi sử dụng thuốc, bác sĩ thường lấy vôi răng và giúp khôi phục lại nướu. Tuy nhiên, nếu tình trạng bệnh vẫn không được tiến triển tốt. Thì bạn sẽ được kê thêm thuốc đặc trị cho bệnh viêm.
Khám Răng Ở Địa Chỉ Nha Khoa Nào Uy Tín?
Hiện nay, có rất nhiều địa chỉ nha khoa khác nhau. Tuy nhiên, bên cạnh những địa chỉ uy tín cũng có không ít nha khoa kém chất lượng. Do đó, nếu bạn đang phân vân không biết khám ở đâu uy tín thì Nha Khoa Amity sẽ là địa chỉ hàng đầu.
Chúng tôi luôn đi đầu trong đầu tư cơ sở vật chất, trang thiết bị hiện đại vào khám. Quy tụ đội ngũ bác sĩ chuyên khoa răng hàm mặt giỏi, có nhiều năm kinh nghiệm trong nghề. Tới đây, nha khoa đã khám và điều trị thành công cho hàng ngàn bệnh nhân, khách hàng khác nhau.
Quy trình làm việc chuyên nghiệp, an toàn và uy tín. Giúp khách hàng không phải chờ đợi lâu. Chi phí khám, điều trị và thẩm mỹ răng hợp lý, công khai và minh bạch. Được đông đảo khách hàng tin tưởng lựa chọn.
Thông Tin Liên Hệ
Địa chỉ: 218 Dã Tượng, Vĩnh Hoà, Thành phố Nha Trang, Khánh Hòa
Điện thoại: 02583.888.138
Website: www.nhakhoaamity.vn






